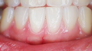
Πρησμένα ούλα που πονούν και ματώνουν; Τι φταίει και πώς αντιμετωπίζεται ΥΓΕΙΑ 13.01.2026Πρησμένα ούλα που πονούν και ματώνουν; Τι φταίει και πώς αντιμετωπίζεται
Οι βασικοί κανόνες για να την προλάβετε την ουλίτιδα ΥΓΕΙΑ 01.04.2022Οι βασικοί κανόνες για να την προλάβετε την ουλίτιδα
Από τι κινδυνεύουν όσοι έχουν τη νόσο των ούλων ΥΓΕΙΑ 17.04.2021Από τι κινδυνεύουν όσοι έχουν τη νόσο των ούλων
Συνεχής ροή ΚΡΗΤΗ 13:51 Κρήτη: «Πορτοκαλί» συναγερμός για ισχυρές καταιγίδες και θυελλώδεις ανέμους - Σε επιφυλακή η Πολιτική Προστασία
SPORTS 11:00 Σε κλίμα αποθέωσης η υποδοχή της αποστολής του ΟΦΗ στο Ηράκλειο - Βίντεο και φωτογραφίες
ΚΡΗΤΗ 09:05 Καμίνια: για τα μαύρα μάτια 28χρονης η φονική μαχαιριά στο πόδι του Γιώργου - Στον Εισαγγελέα οι συλληφθέντες - Βίντεο