Νέος συνδυασμός φαρμάκων συρρικνώνει σημαντικά τους όγκους των ωοθηκών
Τα αποτελέσματα των κλινικών δοκιμών έδειξαν ότι ο συνδυασμός αυτών των φαρμάκων είναι «πολύ πιο αποτελεσματικός» από οποιαδήποτε άλλη διαθέσιμη θεραπεία.
Χιλιάδες γυναίκες με καρκίνο των ωοθηκών θα μπορούσαν να επωφεληθούν από έναν επαναστατικό συνδυασμό φαρμάκων ο οποίος αποδείχθηκε ότι συρρίκνωσε σημαντικά τους όγκους σχεδόν στο 50% των ασθενών.
Η νέα θεραπεία μπλοκάρει την ανάπτυξη του όγκου, βοηθώντας να κρατηθεί η ασθένεια μακριά για χρόνια. Οι ειδικοί δήλωσαν ότι τα «συναρπαστικά» αποτελέσματα από τις κλινικές δοκιμές που παρουσιάστηκαν στο μεγαλύτερο συνέδριο για τον καρκίνο στον κόσμο αυτό το Σαββατοκύριακο, έδειξαν ότι ο συνδυασμός είναι «πολύ πιο αποτελεσματικός» από οποιαδήποτε άλλη διαθέσιμη θεραπεία.
Η βρετανική εφημερίδα Guardian αναφέρει την περίπτωση μιας ασθενούς που συμμετείχε στην κλινική δοκιμή του φαρμάκου. Οι γιατροί είχαν προειδοποιήσει τη γυναίκα πως δεν μπορούσαν να κάνουν πλέον τίποτα αφού δεν ανταποκρινόταν ούτε στη χημειοθεραπεία ούτε στην ορμονοθεραπεία. Ωστόσο η πρωτοποριακή θεραπεία την βοήθησε να νικήσει την ασθένεια. Οι όγκοι της έχουν εξαλειφθεί, ενώ τα τελευταία αποτελέσματα της σάρωσης δεν δείχνουν κανένα στοιχείο της νόσου.
Η δοκιμή φάσης 2, με επικεφαλής το Royal Marsden NHS Foundation Trust και το Ινστιτούτο Έρευνας για τον Καρκίνο του Λονδίνου, δοκίμασε το φάρμακο avutometinib μόνο του και σε συνδυασμό με το defactinib σε 29 ασθενείς. Τα αποτελέσματα της κλινικής δοκιμής έδειξαν ότι οι όγκοι συρρικνώθηκαν σημαντικά στο 45% των ασθενών που έλαβαν το νέο συνδυασμό φαρμάκων ο οποίος αποδείχθηκε σχεδόν δύο φορές πιο αποτελεσματικός από την αμέσως επόμενη καλύτερη θεραπεία με το trametinib που έχει ποσοστό ανταπόκρισης 26%. Τα αποτελέσματα ήταν ακόμη καλύτερα (60%) σε ασθενείς με την μετάλλαξη KRAS. Σχεδόν το ένα τρίτο (29%) των ασθενών που δεν έφεραν τη μετάλλαξη είχε ενθαρρυντική ανταπόκριση, η οποία αποτελεί βελτίωση σε σχέση με την καθιερωμένη θεραπεία.
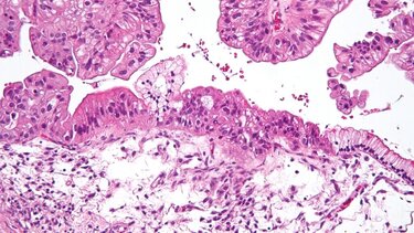
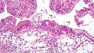
Όλες οι ασθενείς που συμμετείχαν στη δοκιμή είχαν χαμηλού βαθμού ορώδη καρκίνο των ωοθηκών, ο οποίος τείνει να προσβάλλει νεότερες γυναίκες.
«Αυτά τα αρχικά αποτελέσματα θα μπορούσαν να είναι φανταστικά νέα για τις γυναίκες με χαμηλού βαθμού ορώδη καρκίνο των ωοθηκών, υποδεικνύοντας μια πολύ πιο αποτελεσματική επιλογή από τις τρέχουσες θεραπείες», δήλωσε η δρ Σουσάνα Μπάνιρτζι, επικεφαλής ερευνήτρια της μελέτης.
Η αβουτομετινίμπη (avutometinib) είναι ένας διπλός αναστολέας των RAF και MEK, ένας τύπος στοχευμένου φαρμάκου που εμποδίζει ορισμένες πρωτεΐνες που συμβάλλουν στον έλεγχο της ανάπτυξης και της επιβίωσης του καρκίνου. Μελέτες έχουν δείξει ότι το φάρμακο μπορεί να καταστεί αναποτελεσματικό με την πάροδο του χρόνου, καθώς οι όγκοι αναπτύσσουν αντίσταση στη θεραπεία. Ωστόσο, όταν συνδυάζεται με το defactinib – το οποίο καταπολεμά μια πρωτεΐνη που ενθαρρύνει την αντίσταση στα φάρμακα – η αβουτομετινίμπη λειτουργεί πιο αποτελεσματικά. Ο συνδυασμός φαρμάκων είναι πάνω από τέσσερις φορές πιο αποτελεσματικός από ό,τι η αβουτομετινίμπη μόνη της.
Αν και τα ποσοστά επιβίωσης από τη νέα μελέτη που παρουσιάστηκε στην ετήσια συνάντηση της Αμερικανικής Εταιρείας Κλινικής Ογκολογίας στο Σικάγο δεν είναι ακόμη διαθέσιμα, προηγούμενες μελέτες δείχνουν ότι οι ασθενείς ζουν κατά μέσο όρο 23 μήνες μετά τη θεραπεία με αυτόν τον συνδυασμό φαρμάκων πριν από την εξέλιξη του καρκίνου τους.
«Ο χαμηλού βαθμού ορώδης καρκίνος των ωοθηκών δεν ανταποκρίνεται καλά στις σημερινές εγκεκριμένες θεραπείες, οπότε τα αποτελέσματα αυτά θα μπορούσαν να αποτελέσουν μια σημαντική ανακάλυψη», σημείωσε η Μπάνιρτζι. Δήλωσε τέλος πως ελπίζει ότι τα αποτελέσματα θα οδηγήσουν στο να γίνει ο συνδυασμός φαρμάκων «πρότυπο φροντίδας για τις γυναίκες».
ΠΗΓΗ: Guardian
- Τι θα συμβεί στον οργανισμό σας, αν έχετε έλλειψη βιταμίνης D;
- Έρευνα-σοκ: Η σουκραλόζη βλάπτει το DNA
- Πόσα λεπτά πρέπει να μπορείτε να τρέξετε χωρίς να σταματήσετε;
