Συνδυασμοί ανοσοθεραπείας, ελπίδα για τον καρκίνο του πνεύμονα
Ιδιαίτερα σημαντικός αποδεικνύεται ο έλεγχος για καρκίνο πνεύμονα πριν υπάρξουν συμπτώματα – Συνδυασμοί θεραπειών βελτιώνουν την πορεία των ασθενών
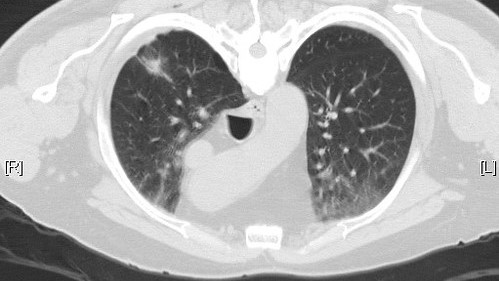
Σε ετήσια εξέταση αξονικής τομογραφίας θώρακα χαμηλής δόσης πρέπει να υποβάλλονται όλοι οι καπνιστές από τα 50 τους και μετά, έστω κι αν έχουν κόψει το τσιγάρο για μια 15ετία.
Ο προσυμπτωματικός έλεγχος του καρκίνου πνεύμονα αφορά όσους έχουν διανύσει τουλάχιστον 20 χρόνια καπνίσματος με ένα ή περισσότερα πακέτα τσιγάρα την ημέρα.
Ο λόγος είναι ότι οι πιθανότητες έγκαιρης διάγνωσης του καρκίνου του πνεύμονα έχει αποδειχθεί σωτήρια, καθώς το προσδόκιμο επιβίωσης από τη συγκεκριμένη μορφή καρκίνου, αλλά και οι θεραπευτικές δυνατότητες είναι πολύ καλύτερες στα αρχικά στάδια της νόσου σε σχέση με τα πιο προχωρημένα περιστατικά.
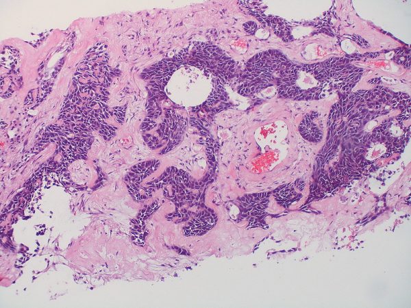
Τα παραπάνω επισήμανε στο in.gr o Παθολόγος-Ογκολόγος Νίκος Α. Κατιρτζόγλου, MDPhD μιλώντας για τον μη μικροκυτταρικό καρκίνο του πνεύμονα, τον τύπο της ασθένειας που αποτελεί το 80-85% των περιστατικών – τα υπόλοιπα περιστατικά αφορούν μικροκυτταρικό τύπο. Ο κάθε ένας από τους δύο τύπους καρκίνου πνεύμονα διαθέτει αρκετούς υποτύπους, ανάλογα με τα γονιδιακά τους χαρακτηριστικά που αποτελούν και τη μοριακή «υπογραφή» του όγκου.

Ο καρκίνος του πνεύμονα εξακολουθεί να αποτελεί την πρώτη αιτία θανάτου μεταξύ αντρών και γυναικών, παρότι ο αριθμός των νέων περιστατικών μειώνεται τις τελευταίες δεκαετίες, κυρίως λόγω του ότι περισσότεροι άνθρωποι σταματούν το κάπνισμα.
Όμως, βάσει στοιχείων της Αμερικανικής Εταιρείας Καρκίνου, η πλειονότητα των ασθενών διαγιγνώσκεται με καρκίνο πνεύμονα στην ηλικία των 65 ετών ή μεγαλύτερη, με τη μέση ηλικία διάγνωσης τα 70 έτη. Mόνο σε ένα πολύ μικρό ποσοστό περιπτώσεων η διάγνωση γίνεται στην ηλικία των 45 ετών ή και μικρότερη.
Όπως ανέφερε ο κ. Κατιρτζόγλου, κανείς δεν μπορεί να υπολογίσει με ακρίβεια το χρονικό διάστημα από τη δημιουργία του νεοπλάσματος μέχρι και την εμφάνιση των πρώτων συμπτωμάτων που οδηγούν στη διάγνωση. Τα στατιστικά δεδομένα επιβίωσης των ασθενών με καρκίνο πνεύμονα στηρίζονται κυρίως στο στάδιο της νόσου τη στιγμή της πρωτοδιάγνωσης, όμως υπάρχουν και κλινικές μελέτες που συσχετίζουν και την ηλικία με την επιβίωση. Σε μία από αυτές τις μελέτες βρέθηκε ότι η διάμεση επιβίωση ηλικιωμένων ασθενών (60 ετών ή περισσότερο) ήταν στατιστικά χαμηλότερη συγκριτικά με αυτή των νεότερων ασθενών (37,8 εβδομάδες έναντι 57 εβδομάδων, αντίστοιχα). Η ηλικία φάνηκε ότι αποτελεί έναν από τους προγνωστικούς παράγοντες επιβίωσης ασθενών με καρκίνο πνεύμονα.
Καθυστερημένη διάγνωση
Καθώς η διάγνωση σπάνια γίνεται σε πρώιμα στάδια της νόσου, ο κ. Κατιρτζόγλου εξήγησε πως η πλειονότητα των περιπτώσεων καρκίνου πνεύμονα δεν εκδηλώνουν συγκεκριμένα ή πολύ θορυβώδη συμπτώματα, παρά μόνο σε προχωρημένα στάδια της νόσου.
Ωστόσο, ένα μικρό ποσοστό ασθενών εκδηλώνει συμπτώματα σε αρχικό στάδιο (έναρξη ή επιδείνωση βήχα, αιμόφυρτα πτύελα, θωρακικό άλγος, δυσκολία αναπνοής ή έντονη δύσπνοια, αναπνοή που «σφυρίζει», αδυναμία και καταβολή, απώλεια σωματικού βάρους, συχνές λοιμώξεις του αναπνευστικού), αρκεί αυτά να μπορούν να αξιολογηθούν ορθώς και να προστρέξει ο ασθενής προς ιατρική εκτίμηση και περαιτέρω έλεγχο εγκαίρως.
Η θεραπεία σαφώς και είναι πιο αποτελεσματική σε περίπτωση γρήγορης διάγνωσης.
Παράγοντες κινδύνου
Ως παράγοντες κινδύνου, ο κ. Κατιρτζόγλου ανέφερε τους εξής:
κάπνισμα (ο μεγαλύτερος και πιο σοβαρός παράγοντας κινδύνου, ο οποίος σχετίζεται και με το 80 έως 90% των θανάτων από τη νόσο),
παθητικό κάπνισμα,
έκθεση σε ραδόνιο, αμίαντο, αρσενικό, μόλυνση περιβάλλοντος,
προηγηθείσα ακτινοβολία στο θώρακα,
ατομικό ή οικογενειακό ιστορικό με καρκίνο πνεύμονα,
μεγάλη ηλικία.
Σημείωσε όμως ότι παράγοντες κινδύνου έχουν βρεθεί και αναφέρονται σε πολλά συμπαγή νεοπλάσματα. Εάν κάποιο άτομο συγκεντρώνει πολλούς παράγοντες κινδύνου ανάπτυξης καρκίνου πνεύμονα, τότε διατρέχει σαφώς μεγαλύτερο κίνδυνο να εκδηλώσει και να νοσήσει από αυτή τη μορφή καρκίνου συγκριτικά με κάποιον άλλον, που είτε έχει μόνον ένα ή λιγότερους παράγοντες κινδύνου (π.χ. βαρύς καπνιστής έναντι ατόμου που δεν έχει καπνίσει ποτέ στη ζωή του).
Πρωτογενής και δευτερογενής πρόληψη
«Πέραν της πρωτογενούς πρόληψης που περιλαμβάνει την μη έναρξη του καπνίσματος, ποτέ, στη ζωή ενός ατόμου, η οποία διατυπώνεται συστηματικά και διαχρονικά από τους γιατρούς, η μείωση του κινδύνου για καρκίνο πνεύμονα μπορεί να επιτευχθεί και με αποφυγή έκθεσης σε ραδόνιο ή αμίαντο ή στο παθητικό κάπνισμα, με υγιεινή διατροφή και άσκηση», επεσήμανε ο κ. Κατιρτζόγλου, ενώ συνέχισε αναφερόμενος στη δευτερογενή πρόληψη που αφορά τον προσυμπτωματικό έλεγχο του καρκίνου πνεύμονα (screening), ο οποίος περιλαμβάνει την ετήσια διενέργεια χαμηλής δόσης αξονικής τομογραφίας θώρακα (LowDoseChestCT, LDCT) σε άτομα ηλικίας μεταξύ 50 και 75-80 ετών,που συνεχίζουν να καπνίζουν ή που έχουν ιστορικό καπνίσματος στη ζωή τους τουλάχιστον ίσο με 20 πακέτα-έτη ή άτομα που κάπνιζαν στο παρελθόν και έχουν σταματήσει το κάπνισμα μέσα στα τελευταία 15 έτη, άτομα δηλαδή που θεωρούνται «υψηλού κινδύνου» για καρκίνο πνεύμονα.
Πρώιμη διάγνωση
Σύμφωνα με τον ειδικό, «το μεγαλύτερο όφελος του προσυμπτωματικού ελέγχου και της έγκαιρης διάγνωσης του καρκίνου του πνεύμονα είναι η μείωση του κινδύνου θανάτου, κάτι που μεταφράζεται σε ελάττωση των θανάτων μεταξύ των ατόμων υψηλού κινδύνου και των καπνιστών, γενικότερα».
Αφενός, τα ποσοστά επιβίωσης των αρχικών σταδίων του καρκίνου του πνεύμονα είναι μακράν καλύτερα εκείνων των προχωρημένων σταδίων, αφετέρου η θεραπεία στα αρχικά στάδια είναι πιο αποτελεσματική και με λιγότερες παρενέργειες.
Παρόλα αυτά, δυστυχώς δεν θα ωφεληθούν όλοι οι ασθενείς που θα ελεγχθούν εγκαίρως: το screening εξακολουθεί να μην βρίσκει όλους τους ασθενείς με καρκίνο πνεύμονα. Δεν θα βρεθούν με τον προσυμπτωματικό έλεγχο όλοι οι ασθενείς με καρκίνο πνεύμονα σε αρχικό στάδιο. Και από όλους αυτούς που θα ανιχνευθούν εγκαίρως, ένα σημαντικό ποσοστό και πάλι θα αποβιώσει εξαιτίας της νόσου».

Θεραπεία
Ο κ. Κατιρτζόγλου επεσήμανε ακόμη ότι «τα τελευταία χρόνια, στη φαρέτρα μας για τη θεραπεία του πρώιμου ΜΜΚΠ έχουμε πολύ περισσότερα και πιο αποτελεσματικά όπλα, συγκριτικά με όσα διαθέταμε πριν 10 ή 20 έτη: και όχι μόνο ποσοτικά, αλλά και –κυρίως- ποιοτικά, με τους παγκοσμίως εγκεκριμένους συνδυασμούς διαφορετικών παραγόντων».
Έτσι, στη κλασική χημειοθεραπεία (που και αυτή πλέον διαφέρει – ανάλογα με το εάν ο καρκίνος του πνεύμονα είναι αδενικού ή πλακώδους τύπου) έχουν προστεθεί οι στοχευτικοί παράγοντες (Στοχευμένη Θεραπεία), η αντι-αγγειογενετική θεραπεία και η ανοσοθεραπεία. Παραδοσιακά, ο πρώιμος καρκίνος πνεύμονα αντιμετωπίζεται μεχειρουργική θεραπεία, ενώ σε αρκετές περιπτώσεις εφαρμόζεται και η ακτινοθεραπεία, η οποία και αυτή έχει συγκεκριμένες ενδείξεις.
Όσο πιο αρχικό είναι το στάδιο που διαγιγνώσκεται η νόσος, όσο πιο αποτελεσματική γίνεται με την πάροδο των ετών η προεγχειρητική (Neo-adjuvant) και μετεγχειρητική ή προληπτική (Adjuvant) θεραπεία, τόσο είναι μεγαλύτερο το όφελος στην επιβίωση των ασθενών μας με ΜΜΚΠ.
Συνδυασμοί ανοσοθεραπείας
Στην κλινική και ερευνητική Ογκολογία, οι θεραπευτικές εξελίξεις ξεκινούν συνήθως από τα πιο προχωρημένα στάδια και με την πάροδο των ετών «έρχονται και πιο μπροστά», όπως λέγεται συνήθως, δηλαδή στις γραμμές θεραπειών για τα αρχικά στάδια, στην προληπτική μετεγχειρητική θεραπεία, αλλά και στην προεγχειρητική.
Επίτευγμα των τελευταίων ετών αποτελεί το γεγονός ότι η ανοσοθεραπεία, αναφορικά με το μεταστατικό στάδιο του ΜΜΚΠ, σε ορισμένες περιπτώσεις αντικατέστησε πλήρως την κλασική χημειοθεραπεία, σε άλλες χορηγείται σε συνδυασμό με αυτήν (με άλλοτε λιγότερους και άλλοτε περισσότερους κύκλους χημειοθεραπείας), ενώ ακόμα και ο τετραπλός συνδυασμός με δύο χημειοθεραπευτικά, έναν Ανοσοθεραπευτικό και έναν αντι-αγγειογενετικό παράγοντα είναι πλέον εγκεκριμένος.
Η ανοσοθεραπεία ακόμα φάνηκε ότι βελτιώνει τους δείκτες επιβίωσης, όταν χορηγείται και ως θεραπεία συντήρησης, μετά από χημειοθεραπεία και ακτινοθεραπεία σε προχωρημένο ΜΜΚΠ.
Τέλος, αλλά με όχι λιγότερη σημασία, είναι και η πολύ πρόσφατη έγκριση ανοσοθεραπευτικού παράγοντα ως προληπτική θεραπεία αρχικών σταδίων ΜΜΚΠ: η χορήγηση της ανοσοθεραπείας για ένα έτος μετά από πλήρη χειρουργική εξαίρεση Μη Μικροκυτταρικού Καρκίνου Πνεύμονα σταδίων ΙΙ έως και ΙΙΙΑ προσέδωσε στατιστικά σημαντικό όφελος στην επιβίωση των ασθενών αυτών».
- Αυξημένος ο κίνδυνος εγκεφαλικού για τους 20άρηδες και 30άρηδες που πίνουν πολύ αλκοόλ
- Η ευλογιά των πιθήκων μεταδίδεται ευρέως προσυμπτωματικά
- Το BeReal θέλει να κάνει τα social media πιο ανθρώπινα. Μπορεί;
