Έζησε όλη της τη ζωή με μια βελόνα στον εγκέφαλο!
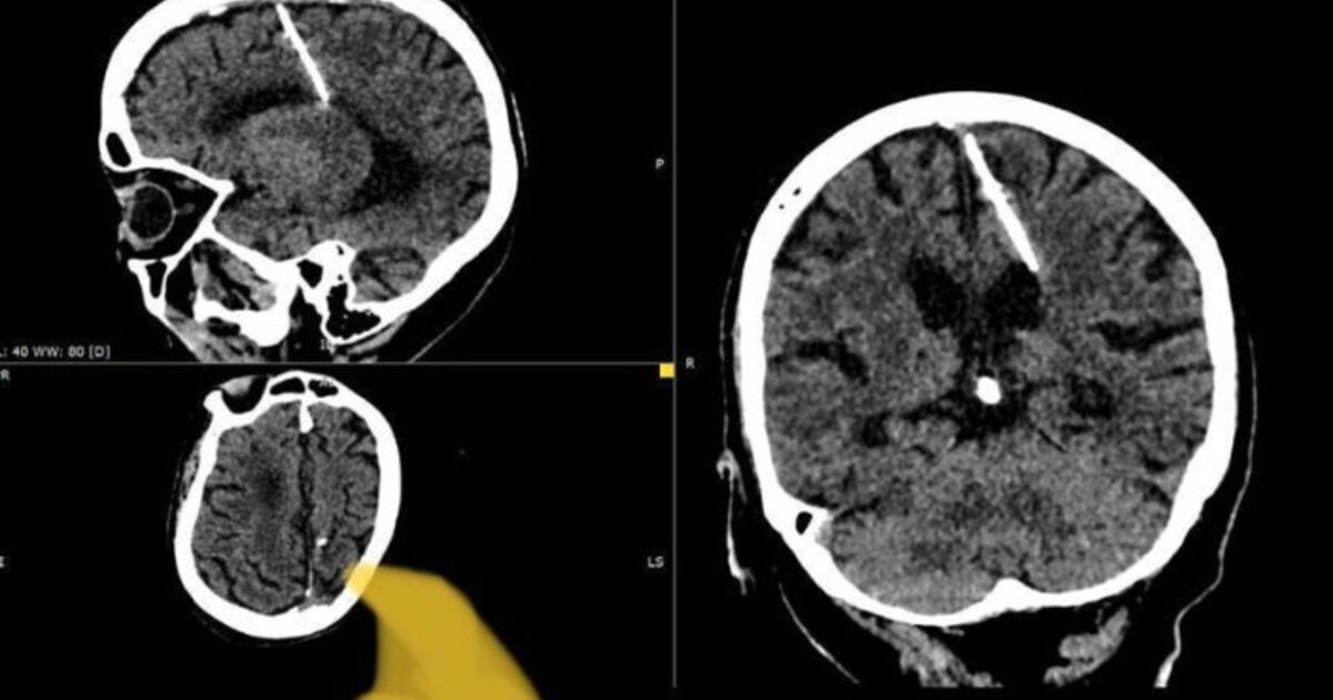
Η βελόνα ανακαλύφθηκε όταν η γυναίκα υποβλήθηκε σε αξονική τομογραφία - Πιθανότατα ήταν απόδειξη της κακής προσπάθειας των γονιών της 80χρονης να τη σκοτώσουν ενώ ήταν ακόμη βρέφος κατά τη διάρκεια του Β’ Παγκοσμίου Πολέμου
Γιατροί στη Ρωσία ανακάλυψαν πως μία ηλικιωμένη έχει ζήσει σχεδόν ολόκληρη τη ζωή της με μία βελόνα σφηνωμένη στον εγκέφαλό της.
Οι γιατροί στο απομακρυσμένο ρωσικό νησί Σαχαλίνη στον Ειρηνικό Ωκεανό κατέληξαν στο συμπέρασμα ότι η βελόνα πιθανότατα ήταν απόδειξη της κακής προσπάθειας των γονιών της 80χρονης να τη σκοτώσουν ενώ ήταν ακόμη βρέφος κατά τη διάρκεια του Β’ Παγκοσμίου Πολέμου.

«Τέτοια περιστατικά δεν ήταν ασυνήθιστα κατά τη διάρκεια περιόδων λιμού: μια λεπτή βελόνα θα έμπαινε στο κρανίο ενός νεογέννητου για να βλάψει τον εγκέφαλό του», έγραψε το υπουργείο Υγείας της Σαχαλίνης, που ανέφερε την περίεργη υπόθεση, στο κανάλι του Telegram.
«Το κρανίο έκλεινε γρήγορα, καλύπτοντας τα στοιχεία του εγκλήματος και το μωρό πέθαινε» εξηγούν.
80-year-old Russian woman found living with needle in brain after parents’ failed World War II infanticide https://t.co/MXItmPOxX5 pic.twitter.com/UPHKBYjdnc
— New York Post (@nypost) October 4, 2023
Αποτυχημένη απόπειρα
Στην περίπτωση της ηλικιωμένης ασθενούς, η βελόνα μήκους 1,2 ιντσών τρύπησε τον αριστερό βρεγματικό λοβό της, αλλά αυτό «δεν οδήγησε στο επιδιωκόμενο αποτέλεσμα», σημείωσαν οι αρμόδιοι στο υπουργείο.
Το κοριτσάκι επέζησε από την απόπειρα βρεφοκτονίας και τις επόμενες δεκαετίες δεν παραπονέθηκε ποτέ για πονοκεφάλους λόγω της βελόνας που ήταν φωλιασμένη στον εγκέφαλό της.
Το αιχμηρό αντικείμενο ανακαλύφθηκε φέτος όταν η 80χρονη πήγε σε κλινική για να υποβληθεί σε αξονική τομογραφία. Οι γιατροί αποφάσισαν να μην αφαιρέσουν την βελόνα φοβούμενοι ότι μπορεί να βλάψει τον εγκέφαλό της.
Τόνισαν ότι η υγεία της δεν διατρέχει κανέναν κίνδυνο και παρακολουθείται στενά από τοπικό γιατρό.
- Μήνυσε τον Jason Derulo – Της έταζε επιτυχία με αντάλλαγμα το σεξ
- Δεκάδες εκατομμύρια παιδιά ξεριζωμένα εξαιτίας κλιματικών καταστροφών
- Σεισμική δόνηση 6,1 βαθμών στα νησιά Ιζού της Ιαπωνίας
