Άγνωστοι πυροβόλησαν το παγώνι της Κνωσού - Σώθηκε από "θαύμα"
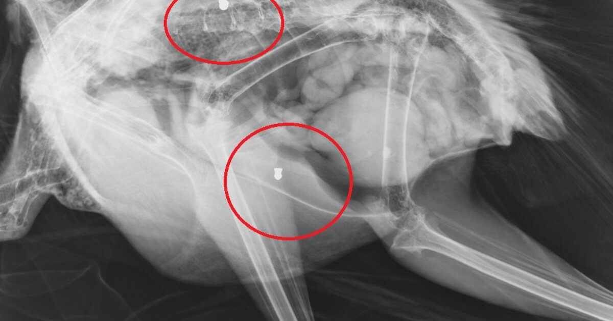
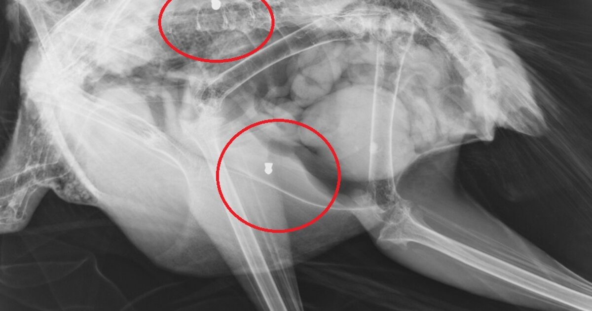
Το εντυπωσιακό πτηνό φέρεται να δέχθηκε πυροβολισμούς, γεγονός που επιβεβαίωσαν και σχετικές ακτινογραφίες που "έδειξαν" μάλιστα δυο βολίδες αεροβόλου κι ένα σκάγι.
Προ εκπλήξεως βρέθηκαν οι άνθρωποι του Συλλόγου Προστασίας και Περίθαλψης Άγριας Ζωής ΑΝΙΜΑ που κλήθηκαν να εξετάσουν ένα παγώνι το οποίο "φιλοξενείται" στον αρχαιολογικό χώρο της Κνωσού.
Και αυτό γιατί όπως διαπιστώθηκε το εντυπωσιακό πτηνό -που εδώ και λίγο καιρό παρουσίαζε πρόβλημα κίνησης, καθώς κούτσαινε- είχε δεχτεί σκάγια αεροβόλου, με την κινητοποίηση του Μουσείου Φυσικής Ιστορίας Κρήτης να αποδεικνύεται ευτυχώς σωτήρια!
Το παγώνι φέρεται να δέχθηκε πυροβολισμούς, γεγονός που επιβεβαίωσαν και σχετικές ακτινογραφίες που "έδειξαν" μάλιστα δυο βολίδες αεροβόλου κι ένα σκάγι.

"Το ζώο αυτό έχει πυροβοληθεί τρείς φορές, την ίδια ώρα ή διαφορετικές δεν μπορούμε να ξέρουμε, ούτε αν ο δράστης είναι ένας ή δύο ή τρεις, μέσα ή δίπλα σ έναν από τους πιο πολυσύχναστους αρχαιολογικούς χώρους της Κρήτης και της Ελλάδας γενικότερα" αναφέρει χαρακτηριστικά σε ανάρτηση του ο Σύλλογος ΑΝΙΜΑ.
Αξίζει να σημειωθεί ότι στο ανάκτορο των Αρχαιοτήτων στην Κνωσό, φιλοξενούνται κι άλλα παγώνια, τα οποία δημιουργούν ένα ιδιαίτερο "σκηνικό" αποτελώντας μάλιστα τις "μασκοτ" του χώρου, τραβώντας τα βλέμματα, ξένων αλλά και ντόπιων επισκεπτών.

Διαβάστε περισσότερες ειδήσεις από την Κρήτη και το Ηράκλειο
- Η ομιλία του δημάρχου Αθηναίων στο Ηράκλειο και μια αποχώρηση που σχολιάστηκε
- Στο λιμάνι του Ηρακλείου το πλοίο του ομίλου Grimaldi
- "Καλά νέα για το Αρκαλοχώρι!" λέει ο Μ. Σενετάκης: Δόθηκε η παράταση που ζητούσαν οι σεισμόπληκτοι